|
Background: |
Lingo-1 is a 614-amino acid protein that plays an important role in the negative regulation of myelination by oligodendrocytes in the central nervous system (CNS). Lingo-1 is a nervous system-specific transmembrane protein that interacts with NgR1 and p75 to make up a receptor complex that binds to Nogo, a protein that inhibits axonal regeneration. Reduction of Lingo-1 activity downregulates RhoA (a protein related to cytoskeleton regulation) activity, promotes oligodendrocyte differentiation, and increases axonal myelination in neuronal tissues. Conversely, overexpression of Lingo-1 activates RhoA and inhibits oligodendrocyte differentiation and myelination. Lingo-1 up-regulation may be a characteristic of activity-induced neural plasticity responses. Lingo-1 may be a critical deterrent of myelin and nerve fiber repair in multiple sclerosis, an inflammatory disease that causes gradual destruction of myelin in the CNS. |
|
Applications: |
ELISA, IHC |
|
Name of antibody: |
LINGO1 |
|
Immunogen: |
Synthetic peptide of human LINGO1 |
|
Full name: |
leucine rich repeat and Ig domain containing 1 |
|
Synonyms: |
LERN1; LRRN6A; UNQ201 |
|
SwissProt: |
Q96FE5 |
|
ELISA Recommended dilution: |
5000-10000 |
|
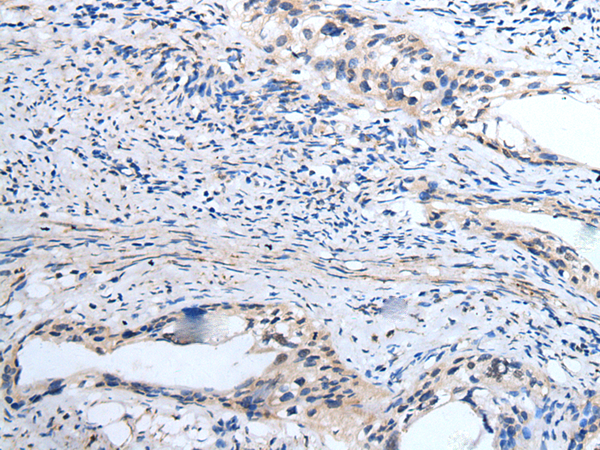
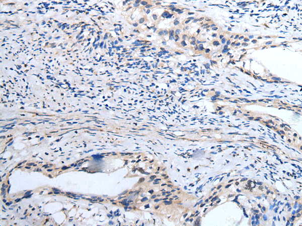
IHC positive control: |
Human cervical cancer |
|
IHC Recommend dilution: |
10-50 |

購(gòu)物車
幫助
021-54845833/15800441009
