|
Background: |
The protein encoded by this gene has a long and a short form, generated by use of alternative translational start codons. The long form is expressed in steroidogenic tissues such as testis, where it converts cholesteryl esters to free cholesterol for steroid hormone production. The short form is expressed in adipose tissue, among others, where it hydrolyzes stored triglycerides to free fatty acids. |
|
Applications: |
WB |
|
Name of antibody: |
LIPE(Phospho-Ser552) |
|
Immunogen: |
Peptide sequence around phosphorylation site of serine 552 (V-L-S(p)-S-L) derived from Human HSL. |
|
Full name: |
lipase, hormone-sensitive |
|
Synonyms: |
HSL; LHS; AOMS4 |
|
SwissProt: |
Q05469 |
|
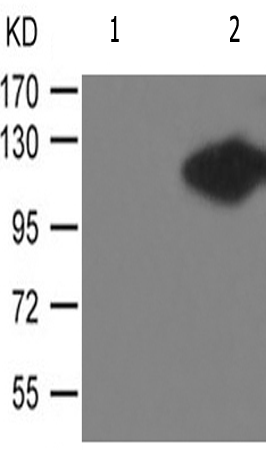
WB Predicted band size: |
117 kDa |
|
WB Positive control: |
K562 cells lysates |
|
WB Recommended dilution: |
500-1000 |
購物車
幫助
021-54845833/15800441009
