宿 主: Rabbit
|
Background: |
The protein encoded by this gene has a long and a short form, generated by use of alternative translational start codons. The long form is expressed in steroidogenic tissues such as testis, where it converts cholesteryl esters to free cholesterol for steroid hormone production. The short form is expressed in adipose tissue, among others, where it hydrolyzes stored triglycerides to free fatty acids. |
|
Applications: |
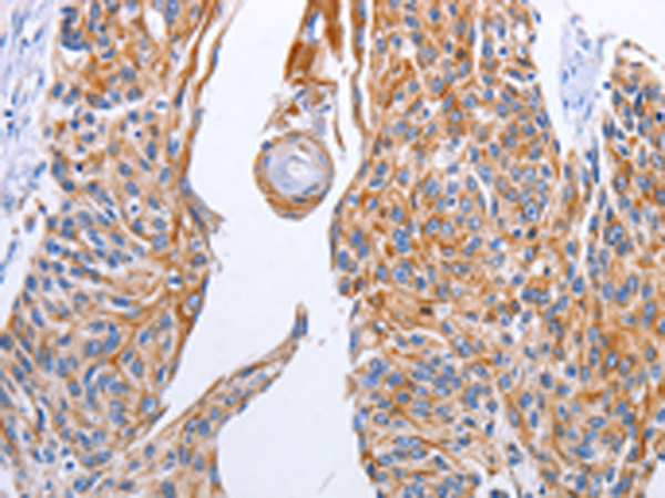
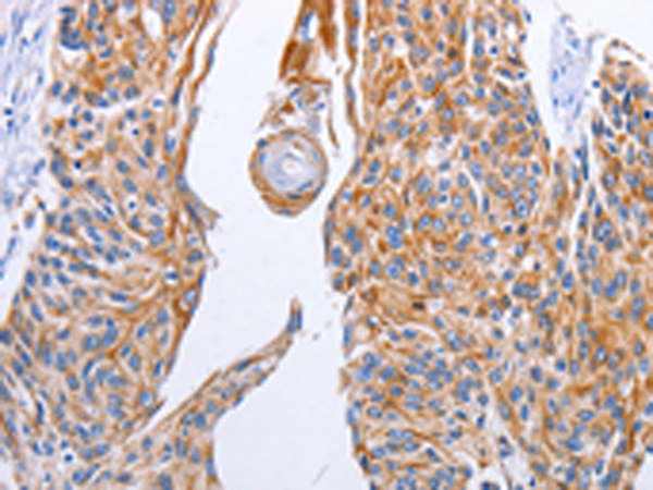
ELISA, IHC |
|
Name of antibody: |
LIPE |
|
Immunogen: |
Fusion protein of human LIPE |
|
Full name: |
lipase, hormone-sensitive |
|
Synonyms: |
HSL, LHS |
|
SwissProt: |
Q05469 |
|
ELISA Recommended dilution: |
1000-2000 |
|
IHC positive control: |
Human esophagus cancer |
|
IHC Recommend dilution: |
10-50 |

購物車
幫助
021-54845833/15800441009
