中文名稱: 兔抗AKT1(Ab-308)多克隆抗體
英文名稱: Anti-AKT1(Ab-308) rabbit polyclonal antibody
別 名: AKT, PKB, RAC, PRKBA, PKB-ALPHA, RAC-ALPHA
相關類別: 一抗
抗 原: AKT1(Ab-308)
儲 存: 冷凍(-20℃)
宿 主: Rabbit
反應種屬: Human, Mouse, Rat
標 記 物: Unconjugate
克隆類型: rabbit polyclonal
技術規格
|
Background: |
The serine-threonine protein kinase encoded by the AKT1 gene is catalytically inactive in serum-starved primary and immortalized fibroblasts. AKT1 and the related AKT2 are activated by platelet-derived growth factor. The activation is rapid and specific, and it is abrogated by mutations in the pleckstrin homology domain of AKT1. It was shown that the activation occurs through phosphatidylinositol 3-kinase. In the developing nervous system AKT is a critical mediator of growth factor-induced neuronal survival. Survival factors can suppress apoptosis in a transcription-independent manner by activating the serine/threonine kinase AKT1, which then phosphorylates and inactivates components of the apoptotic machinery. Mutations in this gene have been associated with the Proteus syndrome. Multiple alternatively spliced transcript variants have been found for this gene. |
|
Applications: |
WB, IHC |
|
Name of antibody: |
AKT1(Ab-308) |
|
Immunogen: |
Synthesized non-phosphopeptide derived from human AKT1 around the phosphorylation site of threonine 308 (M-K-T-F-C) |
|
Full name: |
AKT serine/threonine kinase 1 |
|
Synonyms: |
AKT; PKB; RAC; CWS6; PRKBA; PKB-ALPHA; RAC-ALPHA |
|
SwissProt: |
P31749 |
|
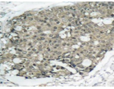
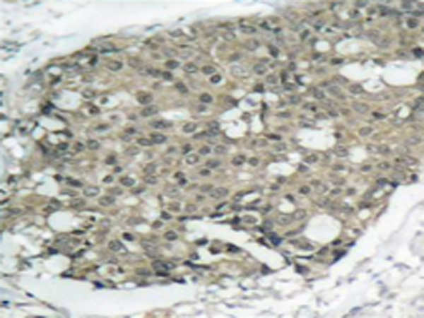
IHC positive control: |
Human breast carcinoma tissue |
|
IHC Recommend dilution: |
50-100 |
|
WB Predicted band size: |
56 kDa |
|
WB Positive control: |
HepG2 and Hela cell lysates |
|
WB Recommended dilution: |
500-1000 |
購物車
幫助
021-54845833/15800441009
