中文名稱: 兔抗LRAT多克隆抗體
Background:
The protein encoded by this gene localizes to the endoplasmic reticulum, where it catalyzes the esterification of all-trans-retinol into all-trans-retinyl ester. This reaction is an important step in vitamin A metabolism in the visual system. Mutations in this gene have been associated with early-onset severe retinal dystrophy and Leber congenital amaurosis 14. Alternative splicing results in multiple transcript variants.
Applications:
ELISA, WB, IHC
Name of antibody:
LRAT
Immunogen:
Fusion protein of human LRAT
Full name:
lecithin retinol acyltransferase
Synonyms:
LCA14
SwissProt:
O95237
ELISA Recommended dilution:
5000-10000
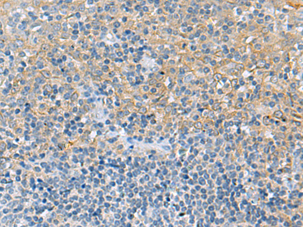
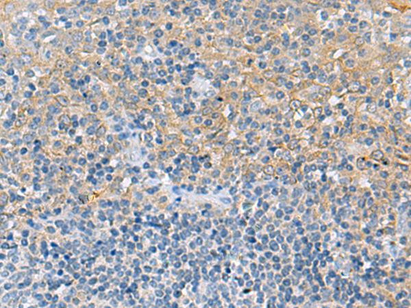
IHC positive control:
Human tonsil
IHC Recommend dilution:
50-200
WB Predicted band size:
26 kDa
WB Positive control:
SP20 cell lysate
WB Recommended dilution:
500-2000
技術規格


購物車
幫助
021-54845833/15800441009
