中文名稱:兔抗CNTN4多克隆抗體
|
Background: |
This gene encodes a member of the contactin family of immunoglobulins. Contactins are axon-associated cell adhesion molecules that function in neuronal network formation and plasticity. The encoded protein is a glycosylphosphatidylinositol-anchored neuronal membrane protein that may play a role in the formation of axon connections in the developing nervous system. Deletion or mutation of this gene may play a role in 3p deletion syndrome and autism spectrum disorders. Alternative splicing results in multiple transcript variants. |
|
Applications: |
ELISA, IHC |
|
Name of antibody: |
CNTN4 |
|
Immunogen: |
Fusion protein of human CNTN4 |
|
Full name: |
contactin 4 |
|
Synonyms: |
AXCAM; BIG-2 |
|
SwissProt: |
Q8IWV2 |
|
ELISA Recommended dilution: |
5000-10000 |
|
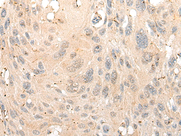
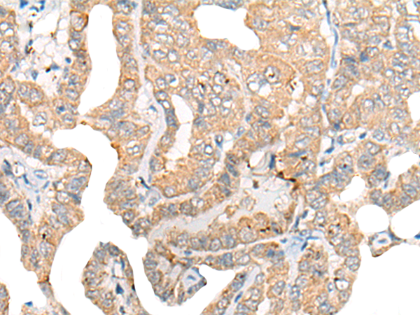
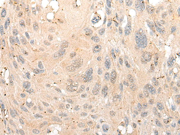
IHC positive control: |
Human thyroid cancer and Human esophagus cancer |
|
IHC Recommend dilution: |
25-100 |

購物車
幫助
021-54845833/15800441009
