|
Background: |
Glycosyl hydrolase enzymes hydrolyse the glycosidic bond between two or more carbohydrates, or between a carbohydrate and a non-carbohydrate moiety. This gene encodes a member of glycosyl hydrolases family 31. This enzyme hydrolyses terminal, non-reducing 1,4-linked alpha-D-glucose residues and releases alpha-D-glucose. This is a key enzyme in glycogen metabolism and its gene localizes to a chromosomal region (15q15) that is associated with susceptibility to diabetes. Alternative splicing results in multiple transcript variants encoding different isoforms. |
|
Applications: |
ELISA, IHC |
|
Name of antibody: |
GANC |
|
Immunogen: |
Synthetic peptide of human GANC |
|
Full name: |
glucosidase alpha, neutral C |
|
SwissProt: |
Q8TET4 |
|
ELISA Recommended dilution: |
5000-10000 |
|
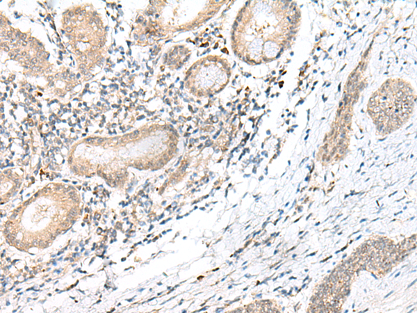
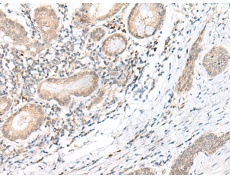
IHC positive control: |
Human ovarian cancer and Human esophagus cancer |
|
IHC Recommend dilution: |
40-200 |


購物車
幫助
021-54845833/15800441009
