中文名稱:兔抗SGTA多克隆抗體
英文名稱: Anti-SGTA rabbit polyclonal antibody
別 名: small glutamine rich tetratricopeptide repeat containing alpha; SGT; hSGT; alphaSGT
相關類別: 一抗
儲 存: 冷凍(-20℃)
宿 主: Rabbit
抗 原: SGTA
反應種屬: Human, Mouse, Rat
標記物: Unconjugate
克隆類型: rabbit polyclonal
技術規格
|
Background: |
This gene encodes a protein which is capable of interacting with the major nonstructural protein of parvovirus H-1 and 70-kDa heat shock cognate protein; however, its function is not known. Since this transcript is expressed ubiquitously in various tissues, this protein may serve a housekeeping function. |
|
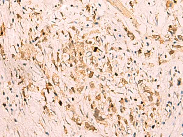
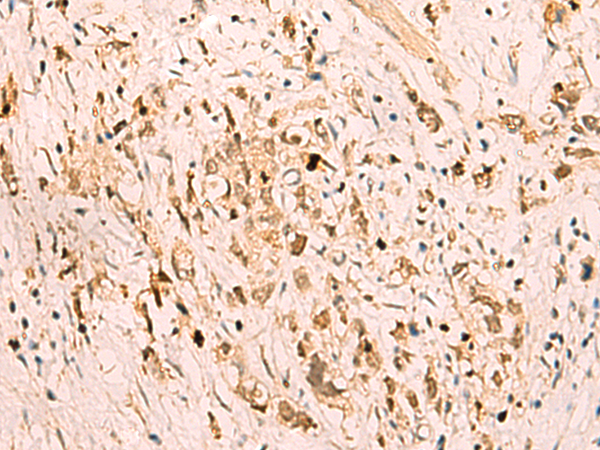
Applications: |
ELISA, WB, IHC |
|
Name of antibody: |
SGTA |
|
Immunogen: |
Fusion protein of human SGTA |
|
Full name: |
small glutamine rich tetratricopeptide repeat containing alpha |
|
Synonyms: |
SGT; hSGT; alphaSGT |
|
SwissProt: |
O43765 |
|
ELISA Recommended dilution: |
5000-10000 |
|
IHC positive control: |
Human gastric cancer |
|
IHC Recommend dilution: |
50-200 |
|
WB Predicted band size: |
34 kDa |
|
WB Positive control: |
LNCAP and A172 cell lysates |
|
WB Recommended dilution: |
1000-5000 |

購物車
幫助
021-54845833/15800441009
