英文名稱: Anti-IFITM1 rabbit polyclonal antibody
相關類別: 一抗
標 記 物: Unconjugate
克隆類型: Unconjugate
技術規格
|
Background: |
The IFITM family of proteins are transmembrane proteins so named because their expression is IFN-inducible. IFITM proteins have been found upregulated in human colorectal carcinomas. Both mouse IFITM1 (also known as CD225) and IFITM3 demonstrate expression on the cell surfaces of primordial germ cells in a developmentally-regulated manner. They presumably modulate cell adhesion and influence cell differentiation. IFITM1 activity is required for primordial germ cell transit, and IFITM1 acts as a repulsive molecule by repelling non-IFITM1-expressing primordial germ cells from the mesoderm into the endoderm. |
|
Applications: |
ELISA, WB, IHC |
|
Name of antibody: |
IFITM1 |
|
Immunogen: |
Synthetic peptide of human IFITM1 |
|
Full name: |
interferon induced transmembrane protein 1 |
|
Synonyms: |
9-27; CD225; IFI17; LEU13; DSPA2a |
|
SwissProt: |
P13164 |
|
ELISA Recommended dilution: |
5000-10000 |
|
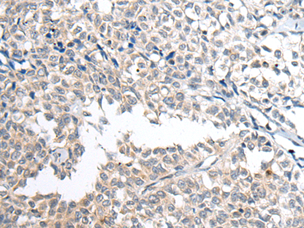
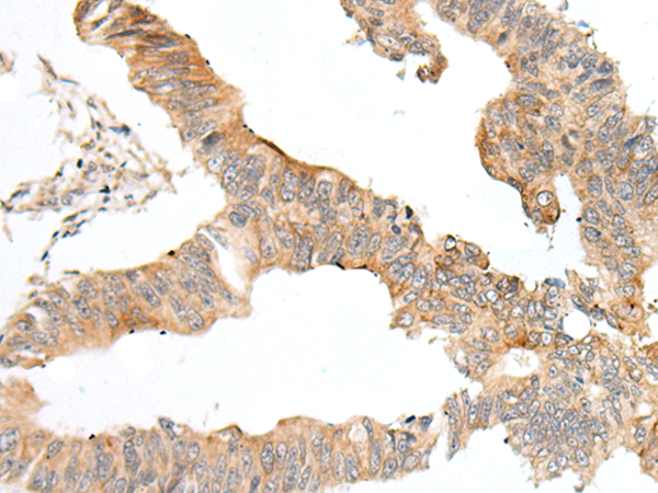
IHC positive control: |
Human colorectal cancer and human ovarian cancer |
|
IHC Recommend dilution: |
25-100 |
|
WB Predicted band size: |
14 kDa |
|
WB Positive control: |
Hela and NIH/3T3 cell |
|
WB Recommended dilution: |
500-2000 |







購物車
幫助
021-54845833/15800441009
