中文名稱: 兔抗ACAP1多克隆抗體
相關類別: 一抗
儲 存: 冷凍(-20℃)
宿 主: Rabbit
反應種屬: Human, Mouse
標 記 物: Unconjugate
克隆類型: rabbit polyclonal
技術規格
|
Background: |
ACAP1, also designated Centaurin-∫ 1 (CENTB1 or Cnt-∫1), is a member of the ADP ribosylation factor family of ARF6 GTPase-activating proteins (GAP). GAPs are important regulators of Arf function by controlling the return of ARF to its inactive state. ACAP1 is related to AGAP1 and ASAP1, and all three proteins are similarly expressed in fibroblast cells such as NIH/3T3. Internalization and recycling of integrin receptors is important in cell adhesion and migration modulation, and once inside a cell, proteins and membranes are transported to the endosome where they are sorted for recycling or degradation. ACAP1 promotes cargo sorting by associating directly to recycling cargo proteins. Preventing this interaction inhibits protein recycling. ACAP1 binds transferrin receptors, promoting their transport to the plasma membrane from the endosome. Akt induced phosphorylation of ACAP1 at Ser 554 regulates ACAP1 interaction to integrin in endosomes, and downregulation of Akt or ACAP1 may inhibit cell migration on Fibronectin. |
|
Applications: |
ELISA, WB, IHC |
|
Name of antibody: |
ACAP1 |
|
Immunogen: |
Fusion protein of human ACAP1 |
|
Full name: |
ArfGAP with coiled-coil, ankyrin repeat and PH domains 1 |
|
Synonyms: |
CENTB1 |
|
SwissProt: |
Q15027 |
|
ELISA Recommended dilution: |
5000-10000 |
|
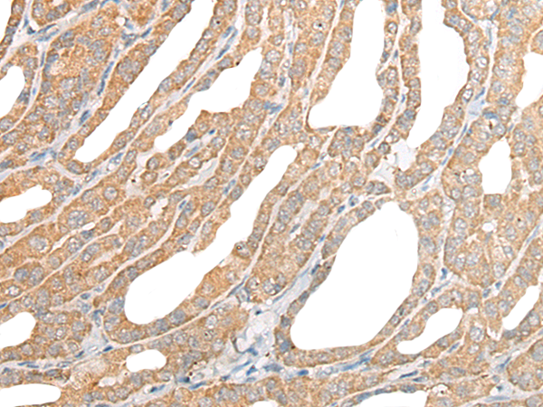
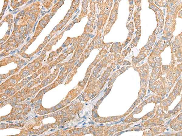
IHC positive control: |
Human thyroid cancer |
|
IHC Recommend dilution: |
25-100 |
|
WB Predicted band size: |
82 kDa |
|
WB Positive control: |
Mouse lung tissue lysate |
|
WB Recommended dilution: |
200-1000 |


購物車
幫助
021-54845833/15800441009
