中文名稱: 兔抗ULBP1多克隆抗體
|
Background: |
Ligand for the KLRK1/NKG2D receptor, together with at least ULBP2 and ULBP3. ULBPs activate multiple signaling pathways in primary NK cells, resulting in the production of cytokines and chemokines. Binding of ULBPs ligands to KLRK1/NKG2D induces calcium mobilization and activation of the JAK2, STAT5, ERK and PI3K kinase/Akt signal transduction pathway. In CMV infected cells, interacts with soluble CMV glycoprotein UL16. The interaction with UL16 blocked the interaction with the KLRK1/NKG2D receptor, providing a mechanism by which CMV infected cells might escape the immune system. UL16 also causes ULBP1 to be retained in the ER and cis-Golgi apparatus so that it does not reach the cell surface. |
|
Applications: |
ELISA, IHC |
|
Name of antibody: |
ULBP1 |
|
Immunogen: |
Synthetic peptide of humanULBP1 |
|
Full name: |
UL16 binding protein 1 |
|
Synonyms: |
RAET1I |
|
SwissProt: |
Q9BZM6 |
|
ELISA Recommended dilution: |
2000-5000 |
|
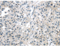
IHC positive control: |
Human breast cancer |
|
IHC Recommend dilution: |
25-100 |
購物車
幫助
021-54845833/15800441009
