|
Background: |
CSRP2 is a member of the CSRP family of genes, encoding a group of LIM domain proteins, which may be involved in regulatory processes important for development and cellular differentiation. CRP2 contains two copies of the cysteine-rich amino acid sequence motif (LIM) with putative zinc-binding activity, and may be involved in regulating ordered cell growth. Other genes in the family include CSRP1 and CSRP3. Alternative splicing results in multiple transcript variants. |
|
Applications: |
ELISA, WB, IHC |
|
Name of antibody: |
CSRP2 |
|
Immunogen: |
Fusion protein of human CSRP2 |
|
Full name: |
cysteine and glycine rich protein 2 |
|
Synonyms: |
CRP2; LMO5; SmLIM |
|
SwissProt: |
Q16527 |
|
ELISA Recommended dilution: |
5000-10000 |
|
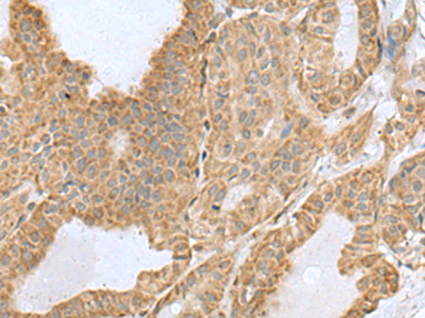
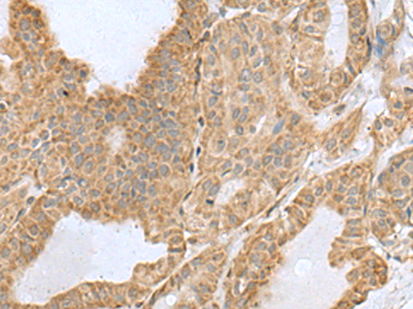
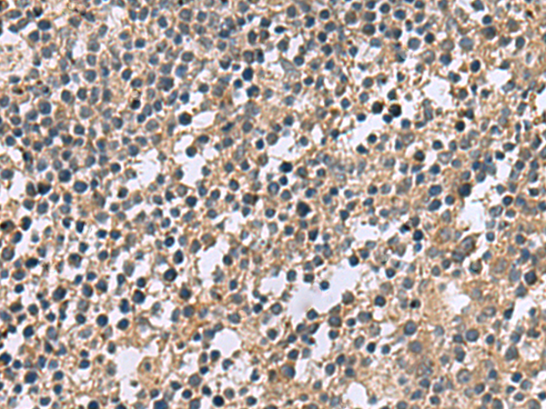
IHC positive control: |
Human tonsil and Human thyroid cancer |
|
IHC Recommend dilution: |
50-200 |
|
WB Predicted band size: |
21 kDa |
|
WB Positive control: |
HepG2 and A549 cell lysates |
|
WB Recommended dilution: |
1000-5000 |


購物車
幫助
021-54845833/15800441009
