中文名稱: 兔抗HNRNPUL1多克隆抗體
相關類別: 一抗
儲 存: 冷凍(-20℃)
宿 主: Rabbit
抗 原: HNRNPUL1
反應種屬: Human, Mouse
標 記 物: Unconjugate
克隆類型: rabbit polyclonal
技術規格
|
Background: |
This gene encodes a nuclear RNA-binding protein of the heterogeneous nuclear ribonucleoprotein (hnRNP) family. This protein binds specifically to adenovirus early-1B-55kDa oncoprotein. It may play an important role in nucleocytoplasmic RNA transport, and its function is modulated by early-1B-55kDa in adenovirus-infected cells. |
|
Applications: |
ELISA, IHC |
|
Name of antibody: |
HNRNPUL1 |
|
Immunogen: |
Synthetic peptide of human HNRNPUL1 |
|
Full name: |
heterogeneous nuclear ribonucleoprotein U like 1 |
|
Synonyms: |
E1BAP5; E1B-AP5; HNRPUL1 |
|
SwissProt: |
Q9BUJ2 |
|
ELISA Recommended dilution: |
5000-10000 |
|
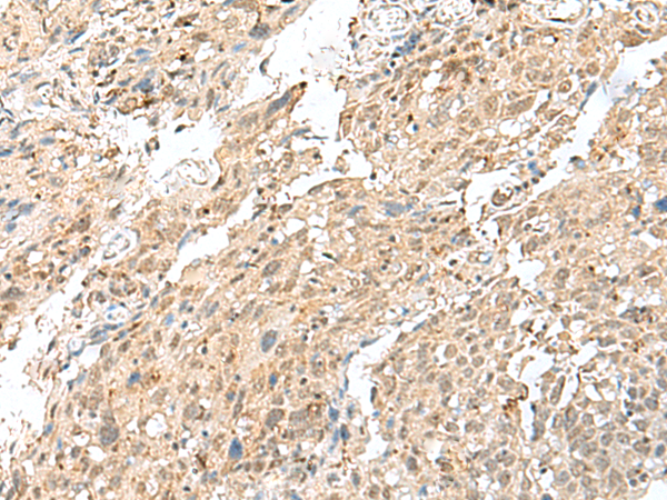
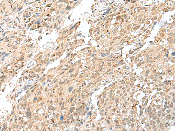
IHC positive control: |
Human cervical cancer |
|
IHC Recommend dilution: |
20-100 |


購物車
幫助
021-54845833/15800441009
