中文名稱:兔抗SHC4多克隆抗體
英文名稱: Anti-SHC4 rabbit polyclonal antibody
別 名: SHC adaptor protein 4; RaLP; SHCD
相關類別: 一抗 儲存 冷凍(-20℃)
宿 主: Rabbit 反應種屬 Human
抗 原: SHC4
標記物: Unconjugate
克隆類型: rabbit polyclonal
技術規格
|
Background: |
Activates both Ras-dependent and Ras-independent migratory pathways in melanomas. Contributes to the early phases of agrin-induced tyrosine phosphorylation of CHRNB1. |
|
Applications: |
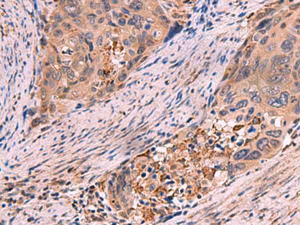
ELISA, IHC |
|
Name of antibody: |
SHC4 |
|
Immunogen: |
Fusion protein of human SHC4 |
|
Full name: |
SHC adaptor protein 4 |
|
Synonyms: |
RaLP; SHCD |
|
SwissProt: |
Q6S5L8 |
|
ELISA Recommended dilution: |
5000-10000 |
|
IHC positive control: |
Human cervical cancer |
|
IHC Recommend dilution: |
70-350 |
購物車
幫助
021-54845833/15800441009
