中文名稱: 兔抗NOS2多克隆抗體
英文名稱: Anti-NOS2 rabbit polyclonal antibody
別 名: NOS; INOS; NOS2A; HEP-NOS
抗 原: NOS2
儲 存: 冷凍(-20℃)
宿 主: Rabbit
相關類別: 一抗
反應種屬: Human
標 記 物: Unconjugate
克隆類型: rabbit polyclonal
技術規格
|
Background: |
Nitric oxide is a reactive free radical which acts as a biologic mediator in several processes, including neurotransmission and antimicrobial and antitumoral activities. This gene encodes a nitric oxide synthase which is expressed in liver and is inducible by a combination of lipopolysaccharide and certain cytokines. Three related pseudogenes are located within the Smith-Magenis syndrome region on chromosome 17. |
|
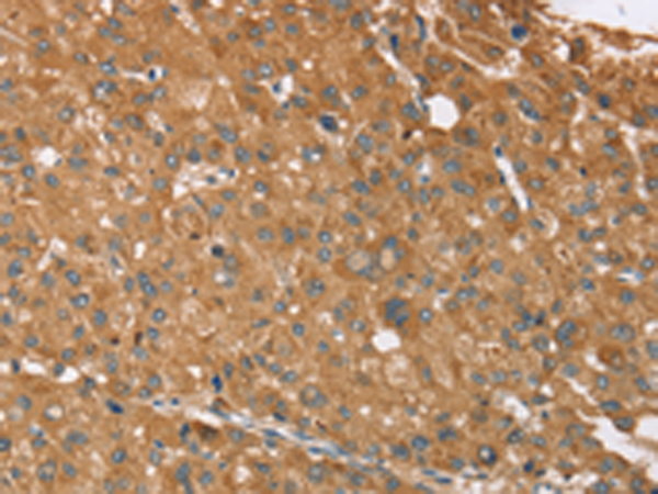
Applications: |
ELISA, IHC |
|
Name of antibody: |
NOS2 |
|
Immunogen: |
Synthetic peptide of human NOS2 |
|
Full name: |
nitric oxide synthase 2, inducible |
|
Synonyms: |
NOS; INOS; NOS2A; HEP-NOS |
|
SwissProt: |
P35228 |
|
ELISA Recommended dilution: |
1000-2000 |
|
IHC positive control: |
Human liver cancer and Human lung cancer |
|
IHC Recommend dilution: |
25-100 |

購物車
幫助
021-54845833/15800441009
