中文名稱:兔抗AHCTF1多克隆抗體
|
Background: |
Required for the assembly of a functional nuclear pore complex (NPC) on the surface of chromosomes as nuclei form at the end of mitosis. May initiate NPC assembly by binding to chromatin and recruiting the Nup107-160 subcomplex of the NPC. Also required for the localization of the Nup107-160 subcomplex of the NPC to the kinetochore during mitosis and for the completion of cytokinesis. |
|
Applications: |
ELISA, IHC |
|
Name of antibody: |
AHCTF1 |
|
Immunogen: |
Synthetic peptide of human AHCTF1 |
|
Full name: |
AT-hook containing transcription factor 1 |
|
Synonyms: |
ELYS; MST108; TMBS62; MSTP108 |
|
SwissProt: |
Q8WYP5 |
|
ELISA Recommended dilution: |
5000-10000 |
|
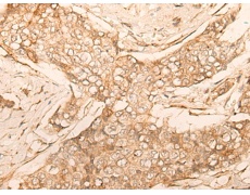
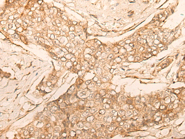
IHC positive control: |
Human esophagus cancer and Human breast cancer |
|
IHC Recommend dilution: |
25-100 |
購物車
幫助
021-54845833/15800441009
