中文名稱: 兔抗GHRHR多克隆抗體
技術規則
|
Background: |
This gene encodes a receptor for growth hormone-releasing hormone. Binding of this hormone to the receptor leads to synthesis and release of growth hormone. Mutations in this gene have been associated with isolated growth hormone deficiency (IGHD), also known as Dwarfism of Sindh, a disorder characterized by short stature. |
|
Applications: |
ELISA, IHC |
|
Name of antibody: |
GHRHR |
|
Immunogen: |
Synthetic peptide of human GHRHR |
|
Full name: |
growth hormone releasing hormone receptor |
|
Synonyms: |
GRFR; GHRFR; IGHD1B |
|
SwissProt: |
Q02643 |
|
ELISA Recommended dilution: |
5000-10000 |
|
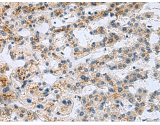
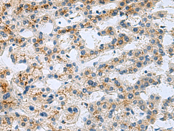
IHC positive control: |
Human liver cancer |
|
IHC Recommend dilution: |
50-100 |
購物車
幫助
021-54845833/15800441009
