|
Background: |
This gene is the target of 2p21 choromosomal aberrations in benign thyroid adenomas. Single nucleotide polymorphisms (SNPs) in this gene may be associated with type 2 diabetes and polycystic ovary syndrome. The encoded protein is likely involved in the death receptor pathway and apoptosis. |
|
Applications: |
ELISA, IHC |
|
Name of antibody: |
THADA |
|
Immunogen: |
Fusion protein of human THADA |
|
Full name: |
THADA, armadillo repeat containing |
|
Synonyms: |
GITA; ARMC13 |
|
SwissProt: |
Q6YHU6 |
|
ELISA Recommended dilution: |
2000-5000 |
|
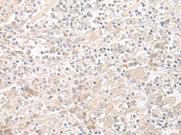
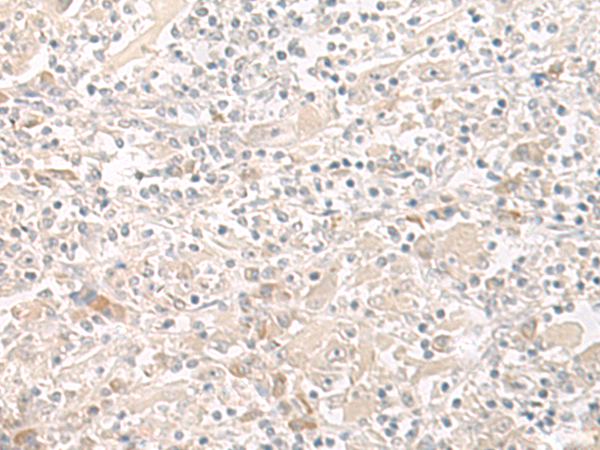
IHC positive control: |
Human liver cancer |
|
IHC Recommend dilution: |
25-100 |
購物車
幫助
021-54845833/15800441009
