中文名稱: 兔抗ANGPTL7多克隆抗體
英文名稱: Anti-ANGPTL7 rabbit polyclonal antibody
別 名: AngX; CDT6; dJ647M16.1; RP4-647M16.2
相關類別: 一抗
抗 原: ANGPTL7
儲 存: 冷凍(-20℃)
宿 主: Rabbit
反應種屬: Human, Mouse, Rat
標 記 物: Unconjugate
克隆類型: rabbit polyclonal
技術規格
|
Background: |
Angiopoietin-related protein 7 is a protein that in humans is encoded by the ANGPTL7 gene, a member of the ANGPTL family. Highly and specifically expressed in the cornea where is confined to the stromal layer. |
|
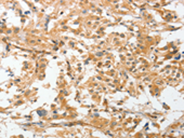
Applications: |
ELISA, IHC |
|
Name of antibody: |
ANGPTL7 |
|
Immunogen: |
Fusion protein of human ANGPTL7 |
|
Full name: |
angiopoietin-like 7 |
|
Synonyms: |
AngX; CDT6; dJ647M16.1; RP4-647M16.2 |
|
SwissProt: |
O43827 |
|
ELISA Recommended dilution: |
2000-5000 |
|
IHC positive control: |
Human thyroid cancer and human liver cancer |
|
IHC Recommend dilution: |
25-100 |

購物車
幫助
021-54845833/15800441009
