中文名稱:兔抗AKAP4多克隆抗體
英文名稱: Anti-AKAP4 rabbit polyclonal antibody
別 名: HI; p82; CT99; FSC1; PRKA4; AKAP-4; AKAP82; AKAP 82; hAKAP82
相關類別: 一抗
抗 原: AKAP4
儲 存: 冷凍(-20℃)
宿 主: Rabbit
反應種屬: Human
標 記 物: Unconjugate
克隆類型: rabbit polyclonal
技術規格
|
Background: |
The A-kinase anchor proteins (AKAPs) are a group of structurally diverse proteins, which have the common function of binding to the regulatory subunit of protein kinase A (PKA) and confining the holoenzyme to discrete locations within the cell. This gene encodes a member of the AKAP family. The encoded protein is localized to the sperm flagellum and may be involved in the regulation of sperm motility. Alternative splicing of this gene results in two transcript variants encoding different isoforms. |
|
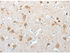
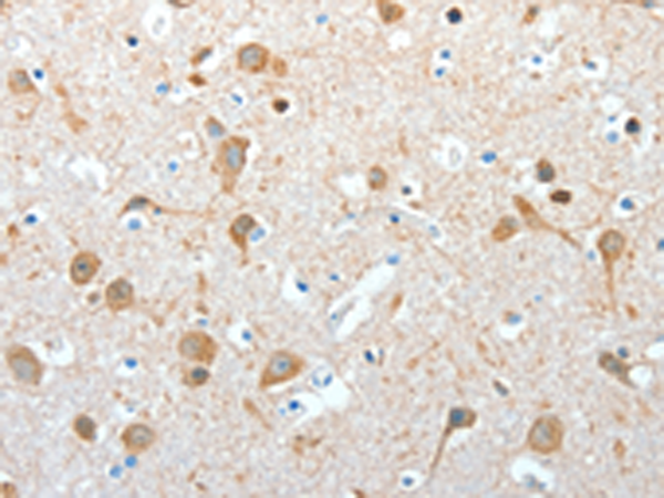
Applications: |
ELISA, IHC |
|
Name of antibody: |
AKAP4 |
|
Immunogen: |
Fusion protein of human AKAP4 |
|
Full name: |
A kinase (PRKA) anchor protein 4 |
|
Synonyms: |
HI; p82; CT99; FSC1; PRKA4; AKAP-4; AKAP82; AKAP 82; hAKAP82 |
|
SwissProt: |
Q5JQC9 |
|
ELISA Recommended dilution: |
1000-2000 |
|
IHC positive control: |
Human brain |
|
IHC Recommend dilution: |
15-50 |
購物車
幫助
021-54845833/15800441009
