中文名稱:兔抗CPSF1多克隆抗體
|
Background: |
Cleavage and polyadenylation specificity factor (CPSF) is a multisubunit complex that plays a central role in 3-prime processing of pre-mRNAs. CPSF recognizes the AAUAAA signal in the pre-mRNA and interacts with other proteins to facilitate both RNA cleavage and poly(A) synthesis. CPSF1 is the largest subunit of the CPSF complex (Murthy and Manley, 1995 [PubMed 7590244]). |
|
Applications: |
ELISA, IHC |
|
Name of antibody: |
CPSF1 |
|
Immunogen: |
Fusion protein of human CPSF1 |
|
Full name: |
cleavage and polyadenylation specific factor 1 |
|
Synonyms: |
CPSF160; P/cl.18; HSU37012 |
|
SwissProt: |
Q10570 |
|
ELISA Recommended dilution: |
5000-10000 |
|
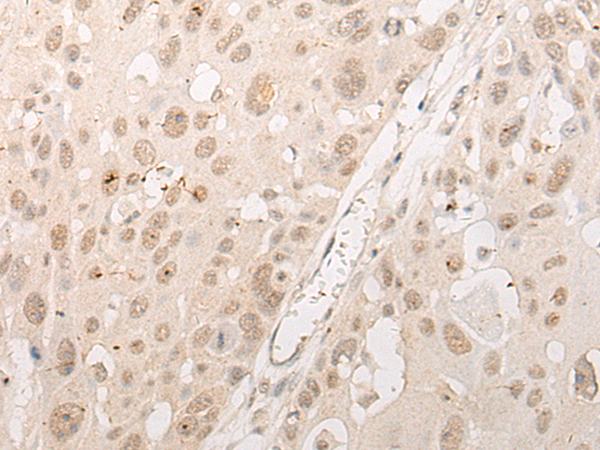
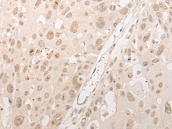
IHC positive control: |
Human esophagus cancer |
|
IHC Recommend dilution: |
20-100 |
購物車
幫助
021-54845833/15800441009
