中文名稱:兔抗H2BC15多克隆抗體
英文名稱: Anti-H2BC15 rabbit polyclonal antibody
別 名: H2B clustered histone 15; H2B/d; H2BFD; HIST1H2BN
相關類別: 一抗
儲 存: 冷凍(-20℃)
宿 主: Rabbit
抗 原: H2BC15
反應種屬: Human, Mouse
標記物:Unconjugate
克隆類型: rabbit polyclonal
Background:
Histones are basic nuclear proteins that are responsible for the nucleosome structure of the chromosomal fiber in eukaryotes. Two molecules of each of the four core histones (H2A, H2B, H3, and H4) form an octamer, around which approximately 146 bp of DNA is wrapped in repeating units, called nucleosomes. The linker histone, H1, interacts with linker DNA between nucleosomes and functions in the compaction of chromatin into higher order structures. This gene is intronless and encodes a replication-dependent histone that is a member of the histone H2B family. Transcripts from this gene lack polyA tails but instead contain a palindromic termination element. This gene is found in the small histone gene cluster on chromosome 6p22-p21.3. [provided by RefSeq, Aug 2015]
Applications:
ELISA, WB, IHC
Name of antibody:
H2BC15
Immunogen:
Fusion protein of human H2BC15
Full name:
H2B clustered histone 15
Synonyms:
H2B/d; H2BFD; HIST1H2BN
SwissProt:
Q99877
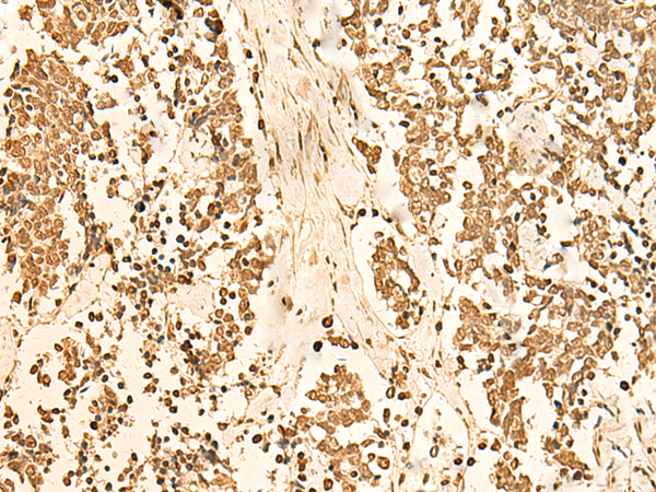
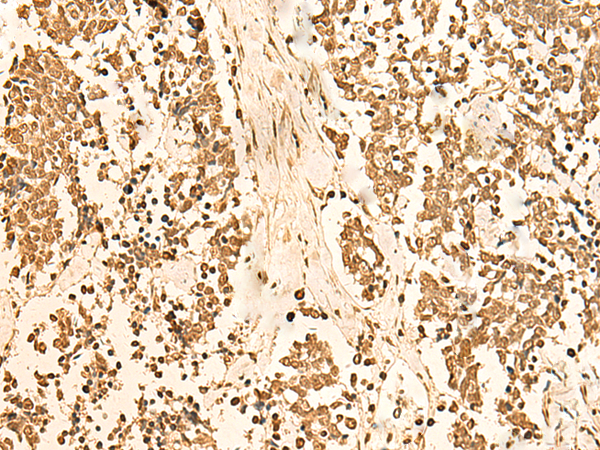
IHC positive control:
Human breast cancer and Human lung cancer
IHC Recommend dilution:
50-300
WB Predicted band size:
14 kDa
WB Positive control:
Jurkat and K562 cell lysates
WB Recommended dilution:
200-1000
技術規格



購物車
幫助
021-54845833/15800441009
