中文名稱 : 兔抗ZBTB8A多克隆抗體
技術規格
Background:
May be involved in transcriptional regulation.
Applications:
ELISA, WB, IHC
Name of antibody:
ZBTB8A
Immunogen:
Fusion protein of human ZBTB8A
Full name:
zinc finger and BTB domain containing 8A
Synonyms:
BOZF1; ZBTB8; ZNF916A
SwissProt:
Q96BR9
ELISA Recommended dilution:
5000-10000
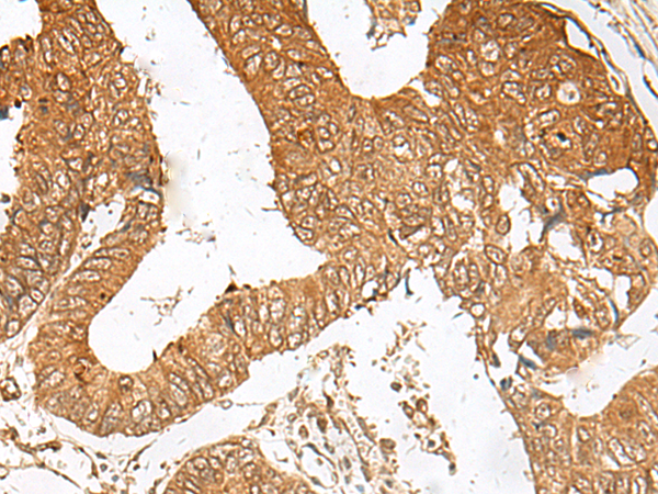
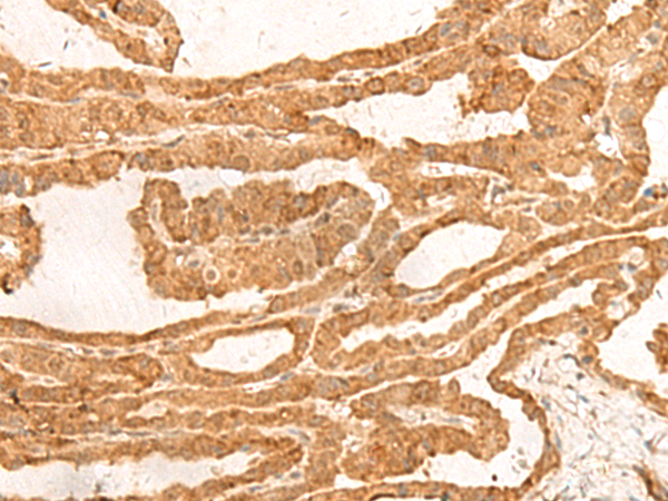
IHC positive control:
Human cervical cancer and Human thyroid cancer
IHC Recommend dilution:
50-300
WB Predicted band size:
50 kDa
WB Positive control:
293T cell lysate
WB Recommended dilution:
500-2000


購物車
幫助
021-54845833/15800441009
