| 
						 Background:  | 
					
						 This gene encodes a membrane protein that functions as part of a receptor complex for a small neuropeptide that increases intracellular cAMP levels. Alternate transcriptional splice variants, encoding different isoforms, have been characterized.  | 
				
| 
						 Applications:  | 
					
						 ELISA, IHC  | 
				
| 
						 Name of antibody:  | 
					
						 CRCP  | 
				
| 
						 Immunogen:  | 
					
						 Fusion protein of human CRCP  | 
				
| 
						 Full name:  | 
					
						 CGRP receptor component  | 
				
| 
						 Synonyms:  | 
					
						 RCP; RCP9; RPC9; CGRPRCP; CGRP-RCP  | 
				
| 
						 SwissProt:  | 
					
						 O75575  | 
				
| 
						 ELISA Recommended dilution:  | 
					
						 5000-10000  | 
				
| 
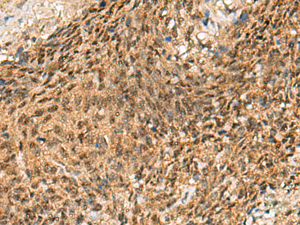
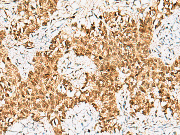
						 IHC positive control:  | 
					
						 Human ovarian cancer and Human cervical cancer  | 
				
| 
						 IHC Recommend dilution:  | 
					
						 50-200  | 
				
	
	
購物車
幫助
021-54845833/15800441009
              