中文名稱: 兔抗TRNAU1AP多克隆抗體
|
Background: |
Involved in the early steps of selenocysteine biosynthesis and tRNA(Sec) charging to the later steps resulting in the cotranslational incorporation of selenocysteine into selenoproteins. Stabilizes the SECISBP2, EEFSEC and tRNA(Sec) complex. May be involved in the methylation of tRNA(Sec). Enhances efficiency of selenoproteins synthesis (By similarity). |
|
Applications: |
ELISA, IHC |
|
Name of antibody: |
TRNAU1AP |
|
Immunogen: |
Fusion protein of human TRNAU1AP |
|
Full name: |
tRNA selenocysteine 1 associated protein 1 |
|
Synonyms: |
SECP43; PRO1902; TRSPAP1 |
|
SwissProt: |
Q9NX07 |
|
ELISA Recommended dilution: |
5000-10000 |
|
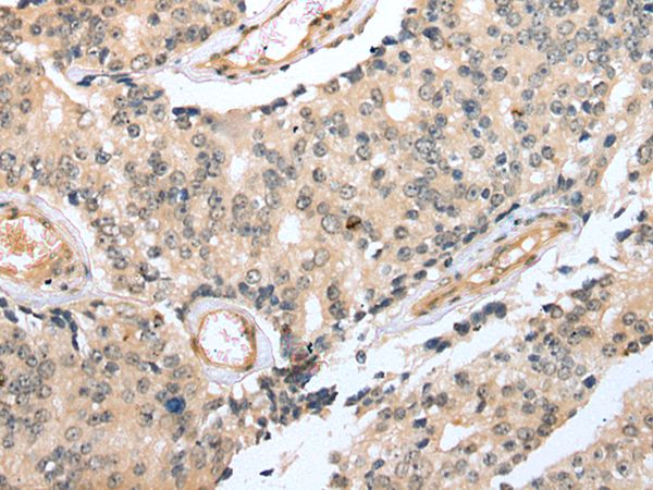
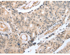
IHC positive control: |
Human prostate cancer and Human tonsil |
|
IHC Recommend dilution: |
25-100 |

購物車
幫助
021-54845833/15800441009
