中文名稱: 兔抗CXCR4多克隆抗體
|
Background: |
This gene encodes a CXC chemokine receptor specific for stromal cell-derived factor-1. The protein has 7 transmembrane regions and is located on the cell surface. It acts with the CD4 protein to support HIV entry into cells and is also highly expressed in breast cancer cells. Mutations in this gene have been associated with WHIM (warts, hypogammaglobulinemia, infections, and myelokathexis) syndrome. Alternate transcriptional splice variants, encoding different isoforms, have been characterized. |
|
Applications: |
ELISA, IHC |
|
Name of antibody: |
CXCR4 |
|
Immunogen: |
Synthetic peptide of human CXCR4 |
|
Full name: |
chemokine (C-X-C motif) receptor 4 |
|
Synonyms: |
FB22; HM89; LAP3; LCR1; NPYR; WHIM; CD184; LAP-3; LESTR; NPY3R; NPYRL; WHIMS; HSY3RR; NPYY3R; D2S201E |
|
SwissProt: |
P61073 |
|
ELISA Recommended dilution: |
2000-5000 |
|
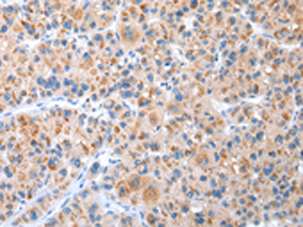
IHC positive control: |
Human esophagus cancer and Human brain |
|
IHC Recommend dilution: |
25-100 |
購物車
幫助
021-54845833/15800441009
