|
Background: |
CYB5D1 belongs to the cytochrome b5 family and contains 1 cytochrome b5 heme-binding domain. Cytochromes b5 are ubiquitous electron transport proteins found in animals, plants and yeasts. There are 2 named isoforms produced by alternative splicing. |
|
Applications: |
ELISA, WB, IHC |
|
Name of antibody: |
CYB5D1 |
|
Immunogen: |
Synthetic peptide of human CYB5D1 |
|
Full name: |
cytochrome b5 domain containing 1 |
|
SwissProt: |
Q6P9G0 |
|
ELISA Recommended dilution: |
5000-10000 |
|
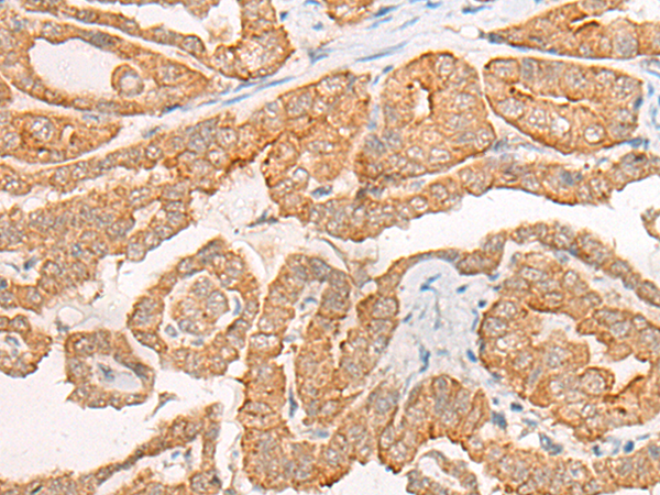
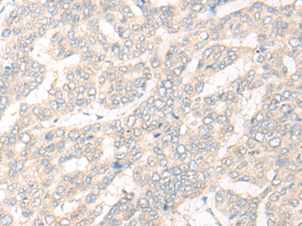
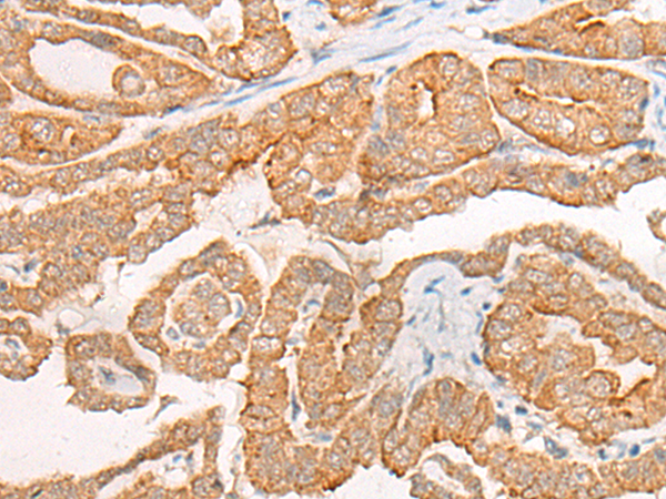
IHC positive control: |
Human liver cancer |
|
IHC Recommend dilution: |
20-100 |
|
WB Predicted band size: |
27 kDa |
|
WB Positive control: |
Hela, PC-3, A549, 293T and 231 cell lysates |
|
WB Recommended dilution: |
200-1000 |



購物車
幫助
021-54845833/15800441009
