|
Background: |
This gene encodes a member of the cytochrome P450 superfamily of enzymes. The cytochrome P450 proteins are monooxygenases which catalyze many reactions involved in drug metabolism and synthesis of cholesterol, steroids and other lipids. This protein localizes to the endoplasmic reticulum and is thought to be the predominant enzyme responsible for epoxidation of endogenous arachidonic acid in cardiac tissue. Multiple transcript variants have been found for this gene. |
|
Applications: |
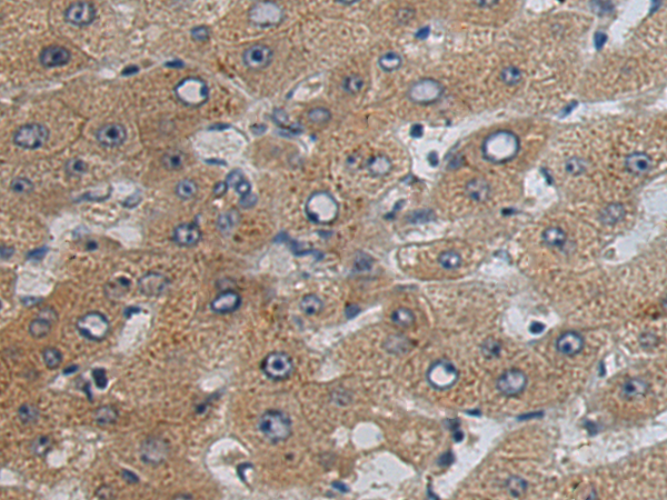
ELISA, IHC |
|
Name of antibody: |
CYP2J2 |
|
Immunogen: |
Fusion protein of human CYP2J2 |
|
Full name: |
cytochrome P450 family 2 subfamily J member 2 |
|
Synonyms: |
CPJ2; CYPIIJ2 |
|
SwissProt: |
P51589 |
|
ELISA Recommended dilution: |
5000-10000 |
|
IHC positive control: |
Human liver cancer |
|
IHC Recommend dilution: |
100-200 |
購物車
幫助
021-54845833/15800441009
