|
Background: |
The protein encoded by this gene is a member of the immunophilin protein family, which play a role in immunoregulation and basic cellular processes involving protein folding and trafficking. This encoded protein is a cis-trans prolyl isomerase that binds the immunosuppressants FK506 and rapamycin, as well as histone deacetylases, the transcription factor YY1, casein kinase II, and nucleolin. It has a higher affinity for rapamycin than for FK506 and thus may be an important target molecule for immunosuppression by rapamycin. |
|
Applications: |
ELISA, WB, IHC |
|
Name of antibody: |
FKBP3 |
|
Immunogen: |
Fusion protein of human FKBP3 |
|
Full name: |
FKBP prolyl isomerase 3 |
|
Synonyms: |
FKBP-3; FKBP25; PPIase; FKBP-25 |
|
SwissProt: |
Q00688 |
|
ELISA Recommended dilution: |
5000-10000 |
|
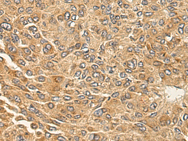
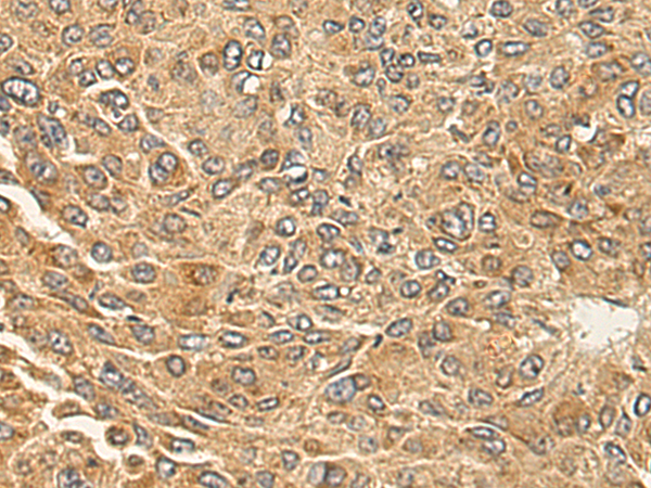
IHC positive control: |
Human liver cancer |
|
IHC Recommend dilution: |
200-300 |
|
WB Predicted band size: |
25 kDa |
|
WB Positive control: |
Human bladder transitional cell carcinoma grade 2-3 tissue, Human bladder transitional cell carcinoma cancer next level 2-3 tissue lysate |
|
WB Recommended dilution: |
1000-5000 |


購物車
幫助
021-54845833/15800441009
