|
Background: |
is gene encodes a member of the cytochrome P450 superfamily of enzymes. The cytochrome P450 proteins are monooxygenases which catalyze many reactions involved in drug metabolism and synthesis of cholesterol, steroids and other lipids. This protein localizes to the endoplasmic reticulum. The enzyme starts the process of inactivating and degrading leukotriene B4, a potent mediator of inflammation. This gene is part of a cluster of cytochrome P450 genes on chromosome 19. Another member of this family, CYP4F11, is approximately 16 kb away. |
|
Applications: |
IHC |
|
Name of antibody: |
CYP4F2 |
|
Immunogen: |
Synthesized peptide derived from N-terminal of human Cytochrome P450 4F2. |
|
Full name: |
cytochrome P450, family 4, subfamily F, polypeptide 2 |
|
Synonyms: |
CPF2 |
|
SwissProt: |
P78329 |
|
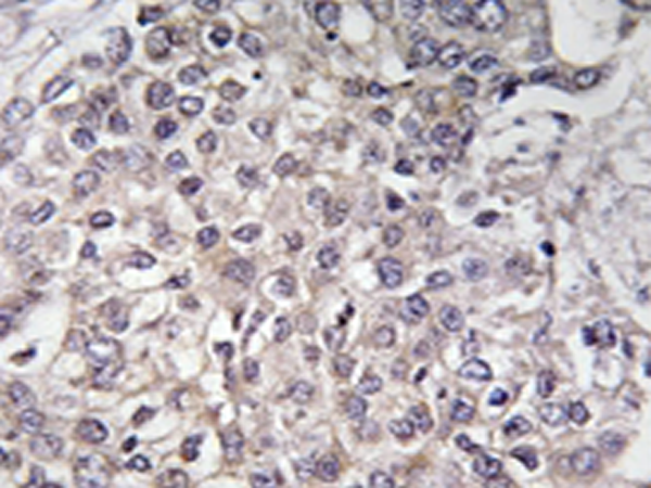
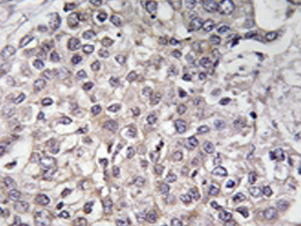
IHC positive control: |
Human liver carcinoma tissue |
|
IHC Recommend dilution: |
50-100 |
購物車
幫助
021-54845833/15800441009
