中文名稱:兔抗SLC5A10多克隆抗體
英文名稱: Anti-SLC5A10 rabbit polyclonal antibody
別 名: SGLT5; SGLT-5
相關類別: 一抗
儲 存: 冷凍(-20℃)
宿 主: Rabbit
抗 原: SLC5A10
反應種屬: Human
標記物: Unconjugate
克隆類型: rabbit polyclonal
技術規格
|
Background: |
This gene is a member of the sodium/glucose transporter family. Members of this family are sodium-dependent transporters and can be divided into two subfamilies based on sequence homology, one that co-transports sugars and the second that transports molecules such as ascorbate, choline, iodide, lipoate, monocaroboxylates, and pantothenate. The protein encoded by this gene has the highest affinity for mannose and has been reported to be most highly expressed in the kidney. This protein may function as a kidney-specific, sodium-dependent mannose and fructose co-transporter. Alternative splicing results in multiple transcript variants that encode different protein isoforms. |
|
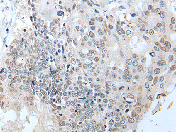
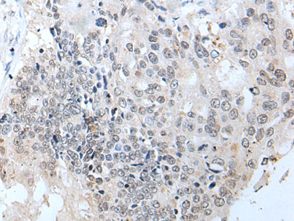
Applications: |
ELISA, IHC |
|
Name of antibody: |
SLC5A10 |
|
Immunogen: |
Synthetic peptide of human SLC5A10 |
|
Full name: |
solute carrier family 5 (sodium/sugar cotransporter), member 10 |
|
Synonyms: |
SGLT5; SGLT-5 |
|
SwissProt: |
A0PJK1 |
|
ELISA Recommended dilution: |
5000-10000 |
|
IHC positive control: |
Human brain and human colorectal cancer |
|
IHC Recommend dilution: |
20-100 |


購物車
幫助
021-54845833/15800441009
