|
Background: |
Death-associated protein kinase 1 is a positive mediator of gamma-interferon induced programmed cell death. DAPK1 encodes a structurally unique 160-kD calmodulin dependent serine-threonine kinase that carries 8 ankyrin repeats and 2 putative P-loop consensus sites. It is a tumor suppressor candidate. Alternative splicing results in multiple transcript variants. |
|
Applications: |
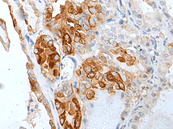
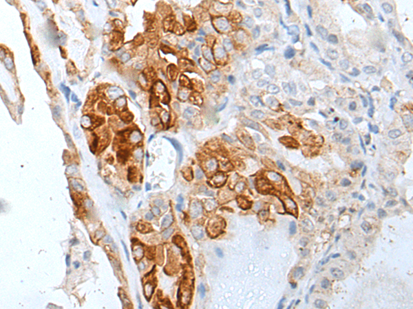
ELISA, IHC |
|
Name of antibody: |
DAPK1 |
|
Immunogen: |
Fusion protein of human DAPK1 |
|
Full name: |
death-associated protein kinase 1 |
|
Synonyms: |
DAPK |
|
SwissProt: |
P53355 |
|
ELISA Recommended dilution: |
1000-2000 |
|
IHC positive control: |
Human esophagus cancer and human thyroid cancer |
|
IHC Recommend dilution: |
25-100 |

購物車
幫助
021-54845833/15800441009
