中文名稱: 兔抗HOXB7多克隆抗體
英文名稱: Anti-HOXB7 rabbit polyclonal antibody
抗 原: HOXB7
別 名: HOX2; HOX2C; HHO.C1; Hox-2.3
相關類別: 一抗
儲 存: 冷凍(-20℃)
宿 主: Rabbit
反應種屬: Human, Mouse, Rat
標 記 物: Unconjugate
克隆類型: Unconjugate
技術規格
|
Background: |
This gene is a member of the Antp homeobox family and encodes a protein with a homeobox DNA-binding domain. It is included in a cluster of homeobox B genes located on chromosome 17. The encoded nuclear protein functions as a sequence-specific transcription factor that is involved in cell proliferation and differentiation. Increased expression of this gene is associated with some cases of melanoma and ovarian carcinoma. |
|
Applications: |
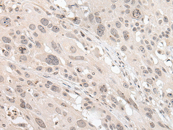
ELISA, IHC |
|
Name of antibody: |
HOXB7 |
|
Immunogen: |
Synthetic peptide of human HOXB7 |
|
Full name: |
homeobox B7 |
|
Synonyms: |
HOX2; HOX2C; HHO.C1; Hox-2.3 |
|
SwissProt: |
P09629 |
|
ELISA Recommended dilution: |
5000-10000 |
|
IHC positive control: |
Human thyroid cancer |
|
IHC Recommend dilution: |
25-100 |


購物車
幫助
021-54845833/15800441009
