中文名稱: 兔抗GSDMA多克隆抗體
|
Background: |
May promote pyroptosis (Probable). Upon cleavage in vitro of genetically engineered GSDMA, the released N-terminal moiety binds to some types of lipids, such as possibly phosphatidylinositol (4,5)-bisphosphate. Homooligomerizes within the membrane and forms pores of 10 -15 nanometers (nm) of inner diameter, triggering cell death. Also binds to bacterial and mitochondrial lipids, including cardiolipin, and exhibits bactericidal activity (PubMed:27281216). The physiological relevance of these observations is unknown (Probable). |
|
Applications: |
ELISA, WB, IHC |
|
Name of antibody: |
GSDMA |
|
Immunogen: |
Fusion protein of human GSDMA |
|
Full name: |
gasdermin A |
|
Synonyms: |
GSDM; FKSG9; GSDM1 |
|
SwissProt: |
Q96QA5 |
|
ELISA Recommended dilution: |
5000-10000 |
|
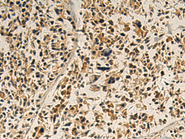
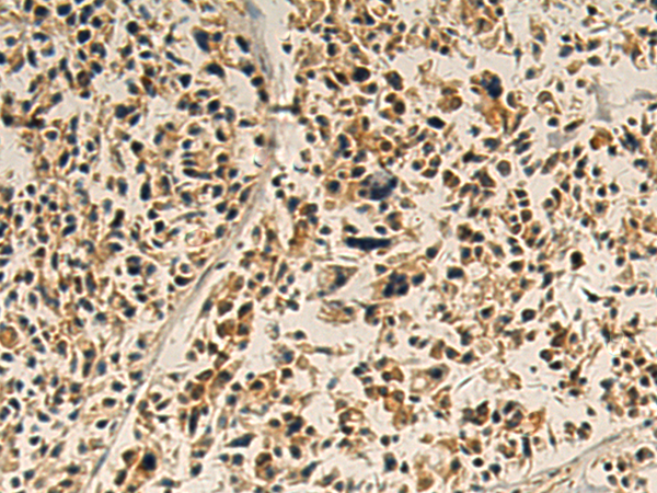
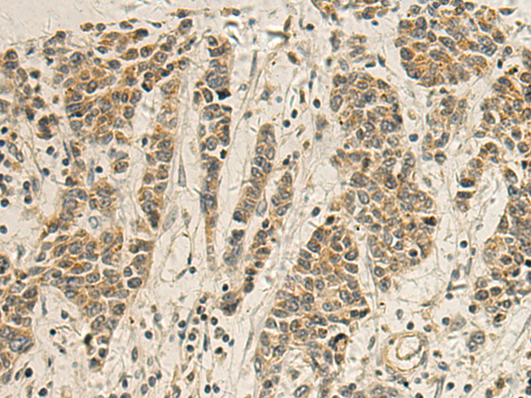
IHC positive control: |
Human colorectal cancer and Human ovarian cancer |
|
IHC Recommend dilution: |
100-200 |
|
WB Predicted band size: |
49 kDa |
|
WB Positive control: |
LO2 and 293T cell lysates |
|
WB Recommended dilution: |
500-2000 |


購物車
幫助
021-54845833/15800441009
