中文名稱: 兔抗DCAF5多克隆抗體
英文名稱: Anti-DCAF5 rabbit polyclonal antibody
別 名: DDB1 and CUL4 associated factor 5 BCRG2; BCRP2; WDR22; D14S1461E
相關類別: 一抗
儲 存: 冷凍(-20℃)
宿 主: Rabbit
抗 原: DCAF5
反應種屬: Human, Mouse
標 記 物: Unconjugate
克隆類型: rabbit polyclonal
技術規格
|
Background: |
May function as a substrate receptor for CUL4-DDB1 E3 ubiquitin-protein ligase complex. |
|
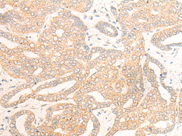
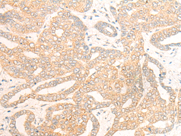
Applications: |
ELISA, IHC |
|
Name of antibody: |
DCAF5 |
|
Immunogen: |
Synthetic peptide of human DCAF5 |
|
Full name: |
DDB1 and CUL4 associated factor 5 |
|
Synonyms: |
BCRG2; BCRP2; WDR22; D14S1461E |
|
SwissProt: |
Q96JK2 |
|
ELISA Recommended dilution: |
5000-10000 |
|
IHC positive control: |
Human liver cancer |
|
IHC Recommend dilution: |
20-100 |
購物車
幫助
021-54845833/15800441009
