中文名稱: 兔抗MAP2K2 (Phospho-Thr394)多克隆抗體
英文名稱: Anti-MAP2K2 (Phospho-Thr394) rabbit polyclonal antibody
別 名: MEK2; MKK2; MAPKK2; PRKMK2
相關類別: 一抗
儲 存: 冷凍(-20℃) 避光
宿 主: Rabbit
抗 原: MAP2K2 (Phospho-Thr394)
反應種屬: Human
標 記 物: Unconjugate
克隆類型: rabbit polyclonal
技術規格
Background:
Catalyzes the concomitant phosphorylation of a threonine and a tyrosine residue in a Thr-Glu-Tyr sequence located in MAP kinases. Activates the ERK1 and ERK2 MAP kinases.
Applications:
WB, IHC, IF
Name of antibody:
MAP2K2 (Phospho-Thr394)
Immunogen:
Synthetic peptide of human MAP2K2 (Phospho-Thr394)
Full name:
mitogen-activated protein kinase kinase 2 (Phospho-Thr394)
Synonyms:
MEK2; MKK2; MAPKK2; PRKMK2
SwissProt:
P36507
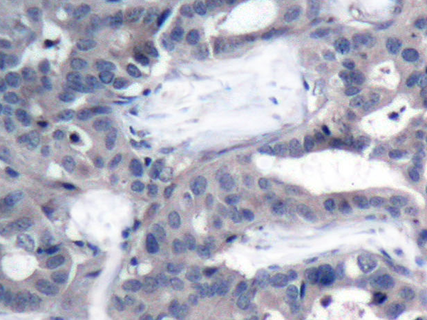
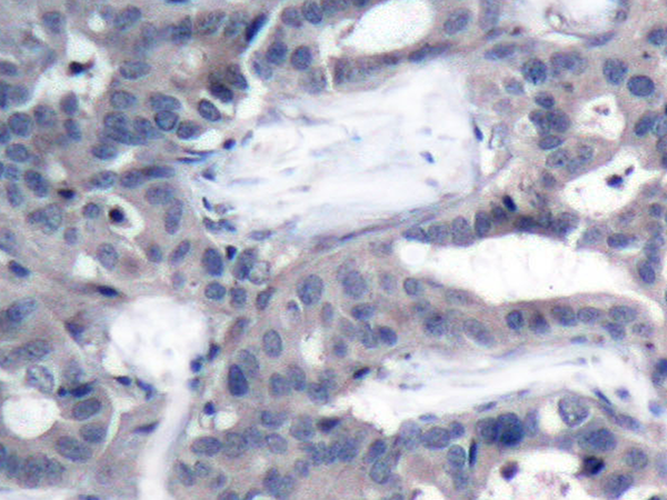
IHC positive control:
Human breast carcinoma
IHC Recommend dilution:
50-100
WB Predicted band size:
44 kDa
WB Positive control:
HepG2 and Hela cells treated with UV
WB Recommended dilution:
500-1000
Positive control:
Hela cells
Recommended dilution:
100-200



購物車
幫助
021-54845833/15800441009
