中文名稱: 兔抗MAP2K3多克隆抗體
英文名稱:Anti-MAP2K3 rabbit polyclonal antibody
別 名: MEK3; MKK3; MAPKK3; PRKMK3; SAPKK2; SAPKK-2
抗 原: MAP2K3
儲 存: 冷凍(-20℃)
宿 主: Rabbit
相關類別:一抗
反應種屬:Human, Mouse
標 記 物: Unconjugate
克隆類型:rabbit polyclonal
技術規格
|
Background: |
The protein encoded by this gene is a dual specificity protein kinase that belongs to the MAP kinase kinase family. This kinase is activated by mitogenic and environmental stress, and participates in the MAP kinase-mediated signaling cascade. It phosphorylates and thus activates MAPK14/p38-MAPK. This kinase can be activated by insulin, and is necessary for the expression of glucose transporter. Expression of RAS oncogene is found to result in the accumulation of the active form of this kinase, which thus leads to the constitutive activation of MAPK14, and confers oncogenic transformation of primary cells. The inhibition of this kinase is involved in the pathogenesis of Yersina pseudotuberculosis. Multiple alternatively spliced transcript variants that encode distinct isoforms have been reported for this gene. |
|
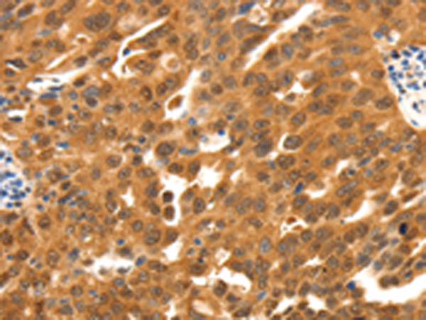
Applications: |
ELISA, IHC |
|
Name of antibody: |
MAP2K3 |
|
Immunogen: |
Fusion protein of human MAP2K3 |
|
Full name: |
mitogen-activated protein kinase kinase 3 |
|
Synonyms: |
MEK3; MKK3; MAPKK3; PRKMK3; SAPKK2; SAPKK-2 |
|
SwissProt: |
P46734 |
|
ELISA Recommended dilution: |
1000-5000 |
|
IHC positive control: |
Human ovarian cancer and human gastric cancer |
|
IHC Recommend dilution: |
25-100 |

購物車
幫助
021-54845833/15800441009
