中文名稱:兔抗ALS2CL多克隆抗體
英文名稱: Anti-ALS2CL rabbit polyclonal antibody
別 名: RN49018
相關類別: 一抗
儲 存: 冷凍(-20℃)
宿 主: Rabbit
抗 原: ALS2CL
反應種屬: Human, Mouse
標 記 物: Unconjugate
克隆類型: rabbit polyclonal
技術規格
|
Background: |
Mutations in the ALS2 gene result in a number of juvenile recessive motor neuron diseases (MNDs), including juvenile primary lateral sclerosis (JPLS), a recessive form of amyotrophic lateral sclerosis (ALS2), infantile onset ascending hereditary spastic paralysis (IAHSP) and a form of complicated hereditary spastic paraplegia (cHSP). The ALS2 gene encodes the Alsin protein. Alsin acts as a guanine nucleotide exchange factor for Rab5, a modulator of the endocytic pathway. Alsin is a cytosolic protein, which is associated with small, punctate membrane structures. Therefore Alsin may mediate membrane transport events, potentially linking endocytic processes and actin cytoskeleton remodeling. The ALS2 C-terminal like protein (ALS2CL) also modulates Rab5 activity. |
|
Applications: |
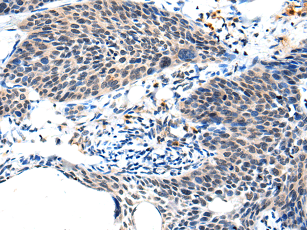
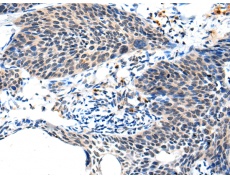
ELISA, IHC |
|
Name of antibody: |
ALS2CL |
|
Immunogen: |
Synthetic peptide of human ALS2CL |
|
Full name: |
ALS2 C-terminal like |
|
Synonyms: |
RN49018 |
|
SwissProt: |
Q60I27 |
|
ELISA Recommended dilution: |
2000-5000 |
|
IHC positive control: |
Human cervical cancer and human tonsil |
|
IHC Recommend dilution: |
25-100 |
購物車
幫助
021-54845833/15800441009
