中文名稱: 兔抗TUBA1B多克隆抗體
|
Background: |
Tubulin is the major constituent of microtubules. It binds two moles of GTP, one at an exchangeable site on the beta chain and one at a non-exchangeable site on the alpha chain. |
|
Applications: |
ELISA, WB, IHC |
|
Name of antibody: |
TUBA1B |
|
Immunogen: |
Fusion protein of human TUBA1B |
|
Full name: |
tubulin alpha 1b |
|
Synonyms: |
K-ALPHA-1 |
|
SwissProt: |
P68363 |
|
ELISA Recommended dilution: |
5000-10000 |
|
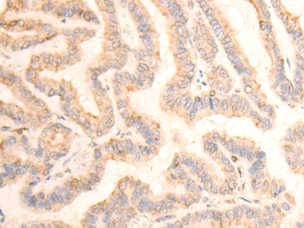
IHC positive control: |
Human thyroid cancer |
|
IHC Recommend dilution: |
50-300 |
|
WB Predicted band size: |
50 kDa |
|
WB Positive control: |
NIH/3T3 cell lysate |
|
WB Recommended dilution: |
200-1000 |


購(gòu)物車
幫助
021-54845833/15800441009
