中文名稱: 兔抗DLK1多克隆抗體
|
Background: |
This gene encodes a transmembrane protein that contains multiple epidermal growth factor repeats that functions as a regulator of cell growth. The encoded protein is involved in the differentiation of several cell types including adipocytes. This gene is located in a region of chromosome 14 frequently showing unparental disomy, and is imprinted and expressed from the paternal allele. A single nucleotide variant in this gene is associated with child and adolescent obesity and shows polar overdominance, where heterozygotes carrying an active paternal allele express the phenotype, while mutant homozygotes are normal. |
|
Applications: |
ELISA, WB, IHC |
|
Name of antibody: |
DLK1 |
|
Immunogen: |
Fusion protein of human DLK1 |
|
Full name: |
delta like non-canonical Notch ligand 1 |
|
Synonyms: |
DLK; FA1; ZOG; pG2; DLK-1; PREF1; Delta1; Pref-1 |
|
SwissProt: |
P80370 |
|
ELISA Recommended dilution: |
5000-10000 |
|
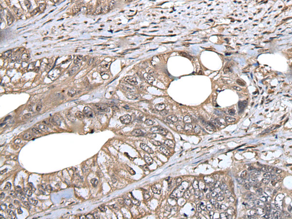
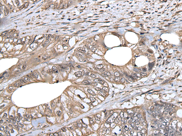
IHC positive control: |
Human colorectal cancer |
|
IHC Recommend dilution: |
25-100 |
|
WB Predicted band size: |
41 kDa |
|
WB Positive control: |
HEPG2 and 231 cell lysates |
|
WB Recommended dilution: |
500-2000 |


購(gòu)物車
幫助
021-54845833/15800441009
