|
Background: |
This gene belongs to the forkhead family of transcription factors which is characterized by a distinct forkhead domain. FOX (Forkhead box) proteins are a family of transcription factors that play important roles in regulating the expression of genes involved in cell growth, proliferation, differentiation, and longevity. Many FOX proteins are important to embryonic development. |
|
Applications: |
ELISA, IHC |
|
Name of antibody: |
FOXD2 |
|
Immunogen: |
Synthetic peptide of human FOXD2 |
|
Full name: |
forkhead box D2 |
|
Synonyms: |
FKHL17, FREAC9, FREAC-9 |
|
SwissProt: |
O60548 |
|
ELISA Recommended dilution: |
1000-2000 |
|
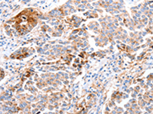
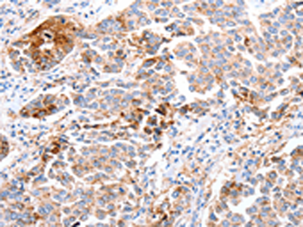
IHC positive control: |
Human breast cancer |
|
IHC Recommend dilution: |
15-50 |

購物車
幫助
021-54845833/15800441009
