|
Background: |
In the elongating spermatid it is associated with the manchette, a specialized microtubule system present during reshaping of the sperm head. |
|
Applications: |
ELISA, WB, IHC |
|
Name of antibody: |
TUBD1 |
|
Immunogen: |
Fusion protein of human TUBD1 |
|
Full name: |
tubulin delta 1 |
|
Synonyms: |
TUBD |
|
SwissProt: |
Q9UJT1 |
|
ELISA Recommended dilution: |
5000-10000 |
|
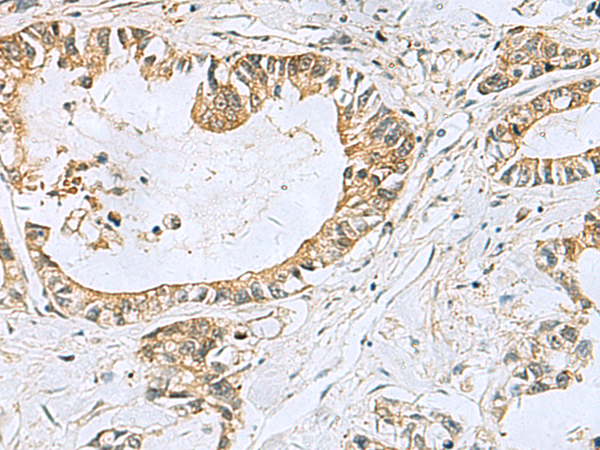
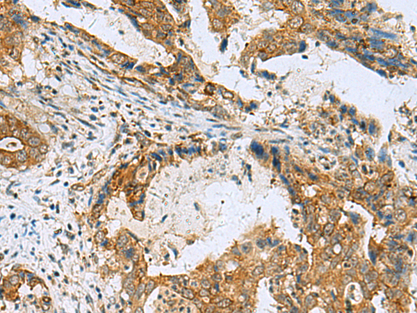
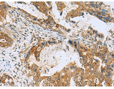
IHC positive control: |
Human cervical cancer and Human gastric cancer |
|
IHC Recommend dilution: |
50-300 |
|
WB Predicted band size: |
51 kDa |
|
WB Positive control: |
Jurkat cell lysate |
|
WB Recommended dilution: |
1000-5000 |



購物車
幫助
021-54845833/15800441009
