中文名稱: 兔抗MED12多克隆抗體
英文名稱: Anti-MED12 rabbit polyclonal antibody
別 名: OKS; FGS1; HOPA; OPA1; OHDOX; ARC240; CAGH45; MED12S; TNRC11; TRAP230
相關類別: 一抗
儲 存: 冷凍(-20℃)
宿 主: Rabbit
抗 原: MED12
反應種屬: Human, Mouse
標 記 物: Unconjugate
克隆類型: rabbit polyclonal
技術規格
|
Background: |
The initiation of transcription is controlled in part by a large protein assembly known as the preinitiation complex. A component of this preinitiation complex is a 1.2 MDa protein aggregate called Mediator. This Mediator component binds with a CDK8 subcomplex which contains the protein encoded by this gene, mediator complex subunit 12 (MED12), along with MED13, CDK8 kinase, and cyclin C. The CDK8 subcomplex modulates Mediator-polymerase II interactions and thereby regulates transcription initiation and reinitation rates. The MED12 protein is essential for activating CDK8 kinase. Defects in this gene cause X-linked Opitz-Kaveggia syndrome, also known as FG syndrome, and Lujan-Fryns syndrome. |
|
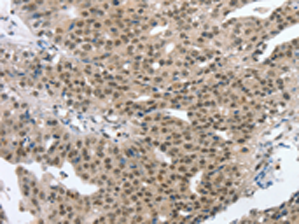
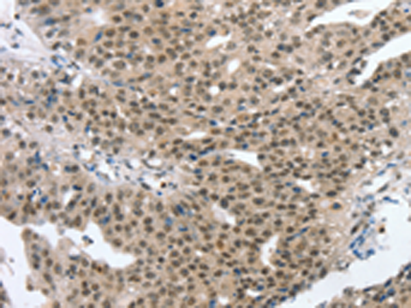
Applications: |
ELISA, IHC |
|
Name of antibody: |
MED12 |
|
Immunogen: |
Synthetic peptide of human MED12 |
|
Full name: |
mediator complex subunit 12 |
|
Synonyms: |
OKS; FGS1; HOPA; OPA1; OHDOX; ARC240; CAGH45; MED12S; TNRC11; TRAP230 |
|
SwissProt: |
Q93074 |
|
ELISA Recommended dilution: |
2000-5000 |
|
IHC positive control: |
Human breast cancer |
|
IHC Recommend dilution: |
25-100 |

購物車
幫助
021-54845833/15800441009
