中文名稱:兔抗CALCOCO1多克隆抗體
英文名稱:Anti-CALCOCO1 rabbit polyclonal antibody
PP13275; calphoglin
抗 原: CALCOCO1
儲 存: 冷凍(-20℃)
宿 主: Rabbit
反應種屬: Human, Mouse, Rat
相關類別: 一抗
標 記 物: Unconjugate
克隆類型: rabbit polyclonal
技術規格
|
Background: |
CALCOCO1 (calcium-binding and coiled-coil domain-containing protein 1), also known as cocoa, calphoglin, sarcoma antigen NY-SAR-3 or coiled-coil coactivator protein, is a 691 amino acid protein that shuttles between the cytoplasm and nucleus and functions as coactivator for aryl hydrocarbon and nuclear receptors. A member of the CALCOCO family, CALCOCO1 is forms a calphoglin complex with PPA1 and PGM 1 and contains multiple functional domains through which it acts as a component of both the androgen signaling pathway and the Wnt/β-catenin signaling pathway. CALCOCO1 exists as three alternatively spliced isoforms (termed Q9P1Z2-1, 2 and 3), which are encoded by genes mapping to human chromosome 12q13.13 and mouse chromosome 15 F3. |
|
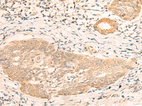
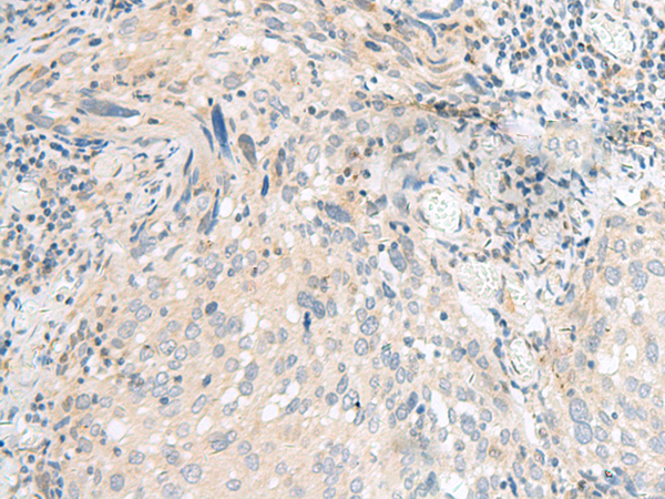
Applications: |
ELISA, IHC |
|
Name of antibody: |
CALCOCO1 |
|
Immunogen: |
Fusion protein of human CALCOCO1 |
|
Full name: |
calcium binding and coiled-coil domain 1 |
|
Synonyms: |
Cocoa; PP13275; calphoglin |
|
SwissProt: |
Q9P1Z2 |
|
ELISA Recommended dilution: |
5000-10000 |
|
IHC positive control: |
Human cervical cancer and Human esophagus cancer |
|
IHC Recommend dilution: |
30-150 |

購物車
幫助
021-54845833/15800441009
