中文名稱: 兔抗MED18多克隆抗體
英文名稱: Anti-MED18 rabbit polyclonal antibody
別 名: p28b
儲 存: 冷凍(-20℃)
抗 原: MED18
宿 主: Rabbit
反應種屬: Human, Mouse
相關類別: 一抗
標 記 物: Unconjugate
克隆類型: rabbit polyclonal
技術規格
|
Background: |
MED18 is a component of the Mediator complex, which is a coactivator for DNA-binding factors that activate transcription via RNA polymerase II (Sato et al., 2003 [PubMed 12584197]). |
|
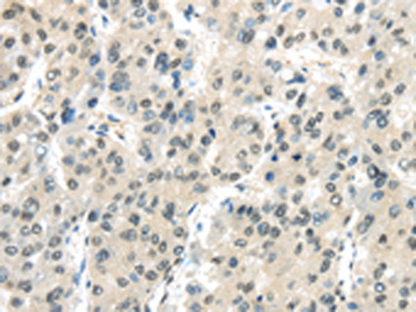
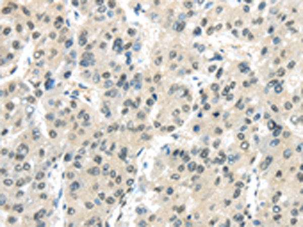
Applications: |
ELISA, IHC |
|
Name of antibody: |
MED18 |
|
Immunogen: |
Full length fusion protein |
|
Full name: |
mediator complex subunit 18 |
|
Synonyms: |
p28b |
|
SwissProt: |
Q9BUE0 |
|
ELISA Recommended dilution: |
2000-5000 |
|
IHC positive control: |
Human liver cancer and human thyroid cancer |
|
IHC Recommend dilution: |
20-100 |

購物車
幫助
021-54845833/15800441009
