|
Background: |
This gene encodes a subunit of several, distinct complexes involved in the repression or activation of transcription. The encoded protein can independently repress transcription and is targeted to replication foci throughout S phase by interacting directly with the N-terminus of DNA methyltransferase 1. During late S phase, histone deacetylase 2 is added to this complex, providing a means to deacetylate histones in transcriptionally inactive heterochromatin following replication. The encoded protein is also a component of the nucleosome acetyltransferase of H4 complex and interacts with the transcriptional corepressor tumor susceptibility gene 101 and the pro-apoptotic death-associated protein 6, among others. Alternatively spliced transcript variants encoding the same protein have been described. |
|
Applications: |
ELISA, WB, IHC |
|
Name of antibody: |
DMAP1 |
|
Immunogen: |
Synthetic peptide of human DMAP1 |
|
Full name: |
DNA methyltransferase 1 associated protein 1 |
|
Synonyms: |
EAF2; SWC4; MEAF2; DNMAP1; DNMTAP1 |
|
SwissProt: |
Q9NPF5 |
|
ELISA Recommended dilution: |
5000-10000 |
|
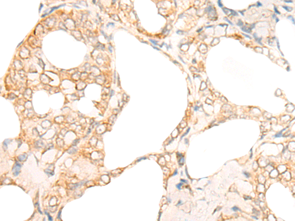
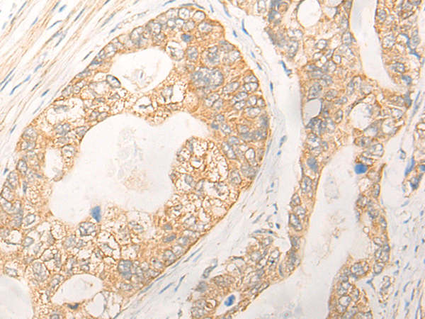
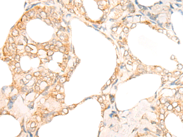
IHC positive control: |
Human gastric cancer;Human thyroid cancer |
|
IHC Recommend dilution: |
20-100 |
|
WB Predicted band size: |
53 kDa |
|
WB Positive control: |
231 and Hela cell lysates |
|
WB Recommended dilution: |
200-1000 |


購(gòu)物車
幫助
021-54845833/15800441009
