|
Background: |
This gene belongs to the short chain dehydrogenase/reductase superfamily. It encodes a reductase enzyme involved in the first step of wax biosynthesis wherein fatty acids are converted to fatty alcohols. The encoded peroxisomal protein utilizes saturated fatty acids of 16 or 18 carbons as preferred substrates. Alternatively spliced transcript variants have been observed for this gene. Related pseudogenes have been identified on chromosomes 2, 14 and 22. |
|
Applications: |
ELISA, IHC |
|
Name of antibody: |
FAR2 |
|
Immunogen: |
Fusion protein of human FAR2 |
|
Full name: |
fatty acyl CoA reductase 2 |
|
Synonyms: |
MLSTD1; SDR10E2 |
|
SwissProt: |
Q96K12 |
|
ELISA Recommended dilution: |
2000-5000 |
|
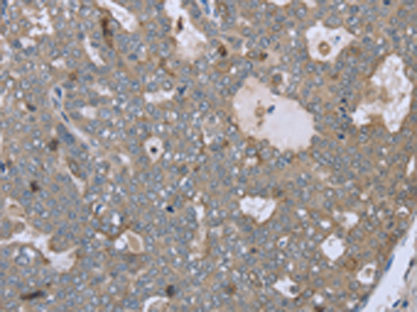
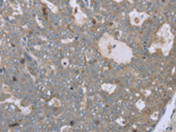
IHC positive control: |
Human ovarian cancer and human tonsil |
|
IHC Recommend dilution: |
50-200 |

購物車
幫助
021-54845833/15800441009
