中文名稱: 兔抗MICU3多克隆抗體
英文名稱: Anti-MICU3 rabbit polyclonal antibody
別 名: EFHA2
相關類別: 一抗
抗 原: MICU3
儲 存: 冷凍(-20℃)
宿 主: Rabbit
反應種屬: Human
標 記 物: Unconjugate
克隆類型: rabbit polyclonal
技術規格
|
Background: |
May play a role in mitochondrial calcium uptake. |
|
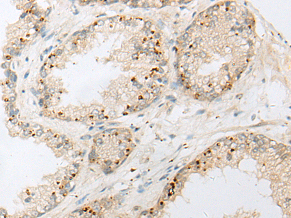
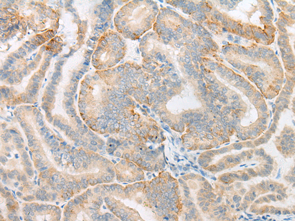
Applications: |
ELISA, IHC |
|
Name of antibody: |
MICU3 |
|
Immunogen: |
Synthetic peptide of human MICU3 |
|
Full name: |
mitochondrial calcium uptake family member 3 |
|
Synonyms: |
EFHA2 |
|
SwissProt: |
Q86XE3 |
|
ELISA Recommended dilution: |
5000-10000 |
|
IHC positive control: |
Human thyroid cancer;Human prostate cancer |
|
IHC Recommend dilution: |
25-100 |

購物車
幫助
021-54845833/15800441009
