中文名稱: 兔抗CDK8多克隆抗體
英文名稱: Anti-CDK8 rabbit polyclonal antibody
別 名: K35
抗 原: CDK8
儲 存: 冷凍(-20℃)
宿 主: Rabbit
反應種屬: Human, Mouse
相關類別: 一抗
標 記 物: Unconjugate
克隆類型: rabbit polyclonal
技術規格
|
Background: |
The protein encoded by this gene is a member of the cyclin-dependent protein kinase (CDK) family. CDK family members are highly similar to the gene products of Saccharomyces cerevisiae cdc28, and Schizosaccharomyces pombe cdc2, and are known to be important regulators of cell cycle progression. This kinase and its regulatory subunit cyclin C are components of the RNA polymerase II holoenzyme complex, which phosphorylates the carboxy-terminal domain (CTD) of the largest subunit of RNA polymerase II. This kinase has also been shown to regulate transcription by targeting the CDK7/cyclin H subunits of the general transcription initiation factor IIH (TFIIH), thus providing a link between the 'Mediator-like' protein complexes and the basal transcription machinery. |
|
Applications: |
ELISA, IHC |
|
Name of antibody: |
CDK8 |
|
Immunogen: |
Synthetic peptide of human CDK8 |
|
Full name: |
cyclin-dependent kinase 8 |
|
Synonyms: |
K35 |
|
SwissProt: |
P49336 |
|
ELISA Recommended dilution: |
2000-5000 |
|
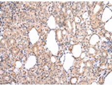
IHC positive control: |
Human thyroid cancer |
|
IHC Recommend dilution: |
25-100 |

購物車
幫助
021-54845833/15800441009
