|
Background: |
This gene is located within a D4Z4 repeat array in the subtelomeric region of chromosome 4q. The D4Z4 repeat is polymorphic in length; a similar D4Z4 repeat array has been identified on chromosome 10. Each D4Z4 repeat unit has an open reading frame (named DUX4) that encodes two homeoboxes; the repeat-array and ORF is conserved in other mammals. The encoded protein has been reported to function as a transcriptional activator of paired-like homeodomain transcription factor 1 (PITX1; GeneID 5307). Contraction of the macrosatellite repeat causes autosomal dominant facioscapulohumeral muscular dystrophy (FSHD). Alternative splicing results in multiple transcript variants. |
|
Applications: |
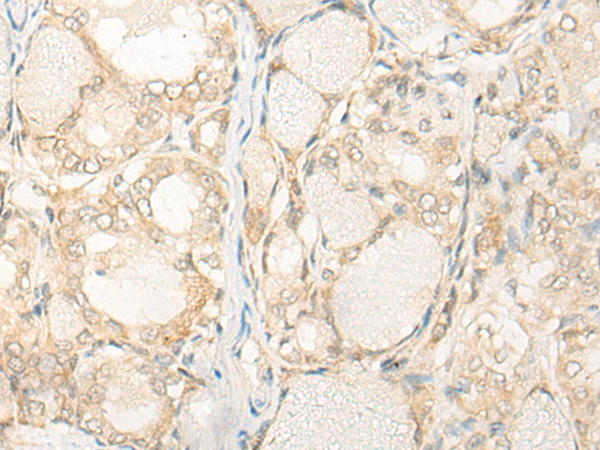
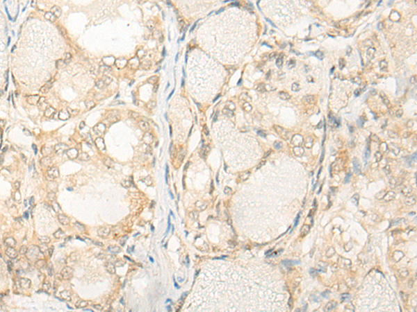
ELISA, IHC |
|
Name of antibody: |
DUX4 |
|
Immunogen: |
Synthetic peptide of human DUX4 |
|
Full name: |
double homeobox 4 |
|
Synonyms: |
DUX4L |
|
SwissProt: |
Q9UBX2 |
|
ELISA Recommended dilution: |
5000-10000 |
|
IHC positive control: |
Human esophagus cancer;Human thyroid cancer |
|
IHC Recommend dilution: |
20-100 |

購物車
幫助
021-54845833/15800441009
